L'équipe
Umanimo Retinne
L'équipe est composée de 10 vétérinaires et 7 assistantes vétérinaires , notre équipe partage les mêmes valeurs et la même passion pour les animaux.
Chaque spécialisation de nos vétérinaires et assistantes permettent de proposer le meilleur service pour vos animaux grâce à une collaboration permanente au sein de notre équipe.
Un service d'urgence est assuré 24h/24 7j/7 par nos vétérinaires sur le site de RETINNE.

Rencontrez notre équipe !
Nos vétérinaires

Nos ASV’s
Nos Services

Urgences
Cependant, il faut toujours prévenir le vétérinaire de garde au 04/358.53.30 pour qu’il puisse prévoir et accueillir votre compagnon dans les meilleures conditions possibles.

Hospitalisation
Vos animaux sont sous surveillance pendant toute la durée de leur hospitalisation. Nos assistantes vétérinaires infirmières s'en occupent tous les jours afin de faire les soins, les nourrir et les sortir.
Si votre animal est hospitalisé hors contagieux, des visites sont autorisées de 15h à 17h en semaine.

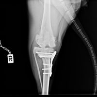
Orthopédie
L'orthopédie se consacre à l'étude des maladies de l'appareil locomoteur : os, articulations, muscles, tendons, ligaments... Chez les chiens et les chats, ces affections sont fréquentes, entrainant douleur, boiterie, difficultés pour marcher, pour sauter...
Le Dr Lionel SIMON s'intéresse particulièrement à ce domaine et sera ravi de vous recevoir sur rendez-vous.

Imagerie
Les radiographies permettent de mettre en évidence des pathologies osseuses, abdominales ou thoraciques.
L’échographie est un examen non invasif qui permet l’exploration des organes internes de l’abdomen (échographie abdominale), du thorax et du coeur (échocardiographie).
Le centre vétérinaire de Retinne est équipé d'un endoscope vétérinaire (endoscopie digestive et respiratoire).

Service NAC
Un vétérinaire exclusif NAC s'occupe des:
Petits mammifères : lapin, chinchilla, cobaye, gerbille, octodon, rat, hamster, furet
Oiseaux : perroquet, perruche, canari, rapace Reptiles : lézard, tortue, serpent, poissons
Le Dr Eléonore BALZAT est formée pour recevoir vos Nacs.

Parcours et classes chiots
Entre sociabilisation et apprentissage, opter pour ce module complet pour votre nouveau compagnon!
3 consultations vétérinaires pédiatriques , 4 classes chiots avec Pascal Sauveur éducatrice canin, 2 entrainements médicaux et une classe puberté avec le Dr Hofmans, vétérinaire comportementaliste.

Ophtalmologie
Nous disposons du matériel adéquat pour les consultations spécialisées d’ophtalmologies (lampe à fente, tonomètre, …)
Le Dr Alexia DYKMANS vous prendra en charge dans ce domaine.
Elle suit actuellement une formation de spécialisation en Ophtalmologie auprès de grands spécialistes européens.

Analyses
- Examen au microscope
- Analyse urinaire
- Analyses sanguines hématologique et biochimique complètes
Vos bilans seniors (thyroïde, reins, …), suivi de reproduction (calcémie, progestérone, …), gestion d’urgence (glycémie, lactate, ...) peuvent être faits chez nous en direct.

Ostéopathie et hydrothérapie
-
C'est le Dr Francoise DETREMBLEUR, vétérinaire ostéopathe, qui vous reçoit sur rendez-vous pour les consultations d'hydrothérapie et d'ostéopathie.
Contact et prise de rendez-vous pour le Dr Detrembleur: 04.77.54.40.83
Plan d'accès
Centre Umanimo Retinne
Rue du Fond du Flo 30
4621 RETINNE












